ホーム  >  製品情報  >  RNAマーカー  >  世界初!色素修飾RNA用分子量マーカー

RNAマーカー

世界初!色素修飾RNA用分子量マーカー

DynaMarker® Prestain Marker for RNA シリーズ

製品の特長

  • 独自の色素結合方法によりRNAマーカーのプレステイン化を実現。
    電気泳動中にも分離状況を確認できるため、最適なタイミングで泳動を停止できます。

  • 低分子色素とは異なり、核酸鎖に色素修飾しているためゲル濃度が変わっても正確な分子量を示します。

  • ナイロンメンブレンへの転写も可能で、RNAが転写されているかどうかを確認することができます。

  • 加熱変性操作なしで、そのままアプライできます。

  • DIG修飾タイプ(DM270)はアルカリフォスファターゼ修飾された抗DIG抗体および発光基質を用いることで検出可能

※インターカレーターによる検出はできません。

製品内容

 

 

 

着色済みの一本鎖RNA分子量ラダーマーカー(Prestain RNA Ladder Marker)一覧表
製品名 Prestained Small RNA Plus Prestained RNA Hign DIG Labeled Blue Color Marker for Small RNA
分子量範囲 20~100 base 200~8,000 base 20~100 base
コード DM253 DM260 DM270
特徴 2色(青・赤)の色素 2色(青・紫)の色素 青色素
Digoxigenin標識
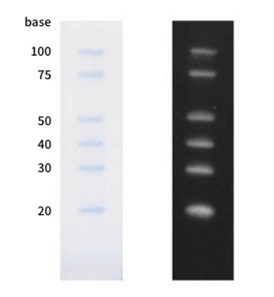
電気泳動像 Prestained Small RNA Plusの電気泳動像

ゲル:10% acrylamide gel containing 7.5M urea
泳動バッファー:1×TBE

Prestained RNA Highの電気泳動像

ゲル:0.8% agarose gel containing 2.2M formaldehyde
泳動バッファー:1×MESA

Small RNAの電気泳動像

ゲル:12.5% acrylamide gel containing 7.5M urea
泳動バッファー:1×TBE

包装 150 μL(30ロード分) 180 μL(30ロード分) 125 μL(25ロード分)

「もう少し泳動距離を長くしたかった。」
「色素を目印に泳動を止めたのに、見たいところが既にゲルから抜けてしまった。」


これまでは電気泳動の終点の確認にはBromophenol blueやXylene cyanolなどの低分子色素を基準としてきました。しかし、これら色素はゲル濃度や泳動条件によって移動度が大きく変化してしまうため、泳動しすぎなどのトラブルの原因となっていました。特に、RNAのような貴重なサンプルの電気泳動において失敗は避けたいものです。

DynaMarker® Prestain Markerシリーズは着色した核酸鎖で構成された、変性ポリアクリルアミドゲル用(DM253)および変性アガロースゲル用(DM260)のプレステインマーカーです。低分子色素とは異なり、核酸鎖を骨格としているため、ゲル濃度や泳動条件による見かけ分子量の変化がほとんどありません。また実際の核酸鎖と同様、シャープなバンドが得られます(図1)。

さらには、メンブレンへの転写も可能ですので、ノーザンブロッティング時のブロッティング効率を確認できることも最大の特徴の一つです。プレステインマーカーを同時にブロッティングすることにより、メンブレンの上下左右を間違えることもなくなります(図2)。

・DIGラベル化マーカー

DM270は可視光色素とともにDigoxigenin(DIG)をラベル化。DIG修飾プローブを用いたノーザンハイブリダイゼーションにおいて分子量マーカーとしてお使いいただけます。

動画

DynaMarker® Prestain Marker for Small RNAの電気泳動像(64倍速)



この他にもBDLでは 様々なタイプのRNAマーカーをとりそろえています。


使用文献

 

 

 

 

DM253

C. Bonnet, et al., STAR Protocols, 3(5), 103292 (2024).
C. M. Obayashi, et al., Scientific Reports, 11, 10920 (2021).
A. Zupok, et al., The Plant Cell, 8(33), 2583-2601 (2021).
D. Mostafa, et al., Communications Biology, 3, 476 (2020).
T. Ueda, et al., Genomics, 6(111), 1183-1191 (2019).
T. Kurosak, et al., GENES & DEVELOPMENT, 28, 1900-1916 (2014).
S. Iram, Cereal Genomics: Methods and Protocols, Chapter 15 (2014).

 

 

 

 

 

DM260

J. Xie, et al., Nature Communications, 15, 3163 (2024).
D. S. Anggramukti, et al., PLOS PATHOGENS, 20(3), 1012094 (2024).
V. A. Kleiner, et al., Communications Biology, 6, 649 (2023).
Y. Kurihara, et al., Communications Biology, 5, 1390 (2022).
M. Miyakoshi, et al., eLife, 11, 82411 (2022).
L. R. Deflubé, et al., PNAS, 116 (17) 8535-8543 (2019).
D. Lalaouna, et al., Nucleic Acid Research, 47(18) 9871-9887 (2019).
E. M. S. Lillebæk, et al., Research in Microbiology, 168(6) 547-557 (2017).
S. Goto, et al., The Plant Journal, 86, 493–503 (2016).

 

 

 

 

 

本製品は以下の特許によって保護されています。
特許第4954004号

 

 

 

製品名
製品コード
包装
価格
マニュアル
SDS
Prestain Marker for Small RNA Plus, DynaMarker®
DM253
150 μL
(30 loadings)
¥ 26,000
Prestain Marker for RNA High, DynaMarker®
DM260
180 μL
(30 loadings)
¥ 26,000
DIG Labeled Blue Color Marker for Small RNA, DynaMarker®
DM270
125 μL
(25 loadings)
¥ 29,000
製品名
Prestain Marker for Small RNA Plus, DynaMarker®
製品コード
DM253
包装
150 μL (30 loadings)
価格
¥ 26,000
マニュアル
SDS
製品名
Prestain Marker for RNA High, DynaMarker®
製品コード
DM260
包装
180 μL (30 loadings)
価格
¥ 26,000
マニュアル
製品名
DIG Labeled Blue Color Marker for Small RNA, DynaMarker®
製品コード
DM270
包装
125 μL (25 loadings)
価格
¥ 29,000
マニュアル
SDS
funakoshi
BDL

BDLはフナコシグループの一員です。
BDL製品をご購入の際は、フナコシ株式会社製品取扱い販売店にご注文ください。